
66 IV. Ergebnisse
Bei der postmortalen Inspektion wurden bei zwei Tieren (je ein Tier in Gruppe I und
II) subarachnoidale Blutungskomplikationen gefunden.
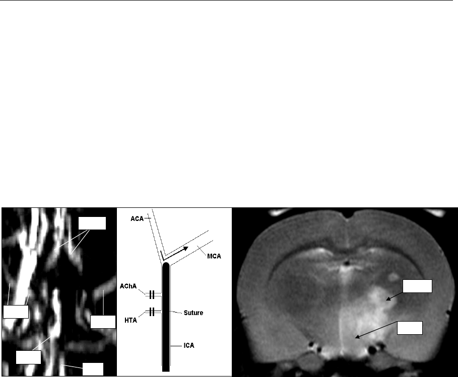
Bei zwei Tieren der Gruppe II (permanentes Fadenmodell) zeigte sich MR-
angiographisch ein offener A. cerebri media-Hauptstamm o/jointfilesconvert/471483/bgleich beide Ratten
fokalneurologische Defizite (Score 2 bzw. 1) aufwiesen. Bei diesen Tieren wurde eine
kleine subkortikale ischämische Läsion auf den T2-gewichteten MRT-Bildern
diagnostiziert, was für einen Infarkt im Versorgungsgebiet der A. choroidea anterior
spricht.
BA
AChA
HTA
ACA
MCA
MCA
ICA
BA
AChA
HTA
ACA
MCA
MCA
ICA
Abb.35: Typische Fehlerquelle des Fadenmodells: Die MR-Angiographie (links) belegt, dass der MCA-
Hauptstamm nicht verschlossen war. Dennoch zeigte dieses Tier fokalneurologische Defizite.
Ursächlich ist ein Infarkt im Versorgungsgebiet der A. choroidea anterior und der A. hypothalamica
(sichtbar auf dem T2-gewichteten MRT rechts). Die Schemazeichnung (Mitte) verdeutlicht die
Fehllage des Okkluders: Der Faden wurde nicht ausreichend weit vorgeschoben und führte zu einem
Verschluss der beiden Äste aus der A. carotis interna, nicht jedoch zu dem angestrebten MCA-
Hauptstammverschluss.
MCA=A. cerebri media; ACA=A. cerebri anterior; ICA= A. carotis interna; BA= A. basilaris; AChA=A.
choroidea anterior; HTA=A. hypothalamica
Ein Tier der Gruppe II (permanentes Fadenmodell) zeigte zusätzlich eine
ischämische Läsion im Versorgungsgebiet der A. hypothalamica mit daraus
resultierender Hyperthermie.
Comentários a estes Manuais